
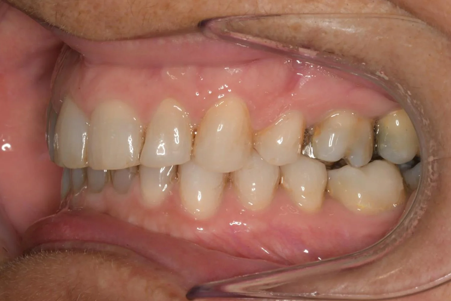
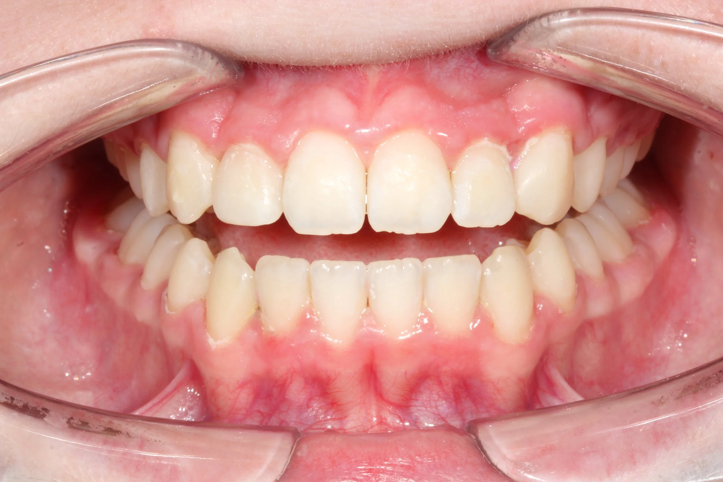
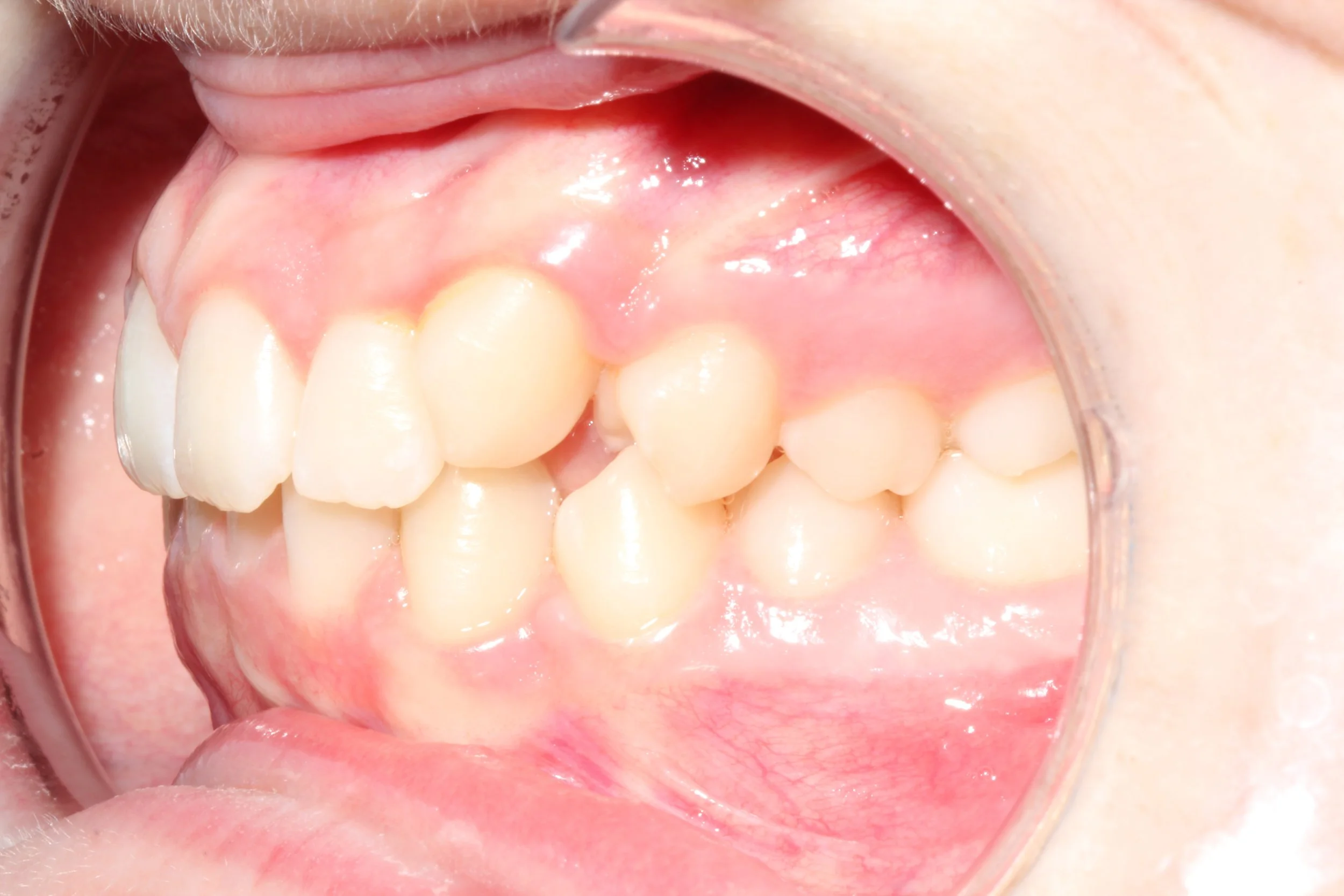
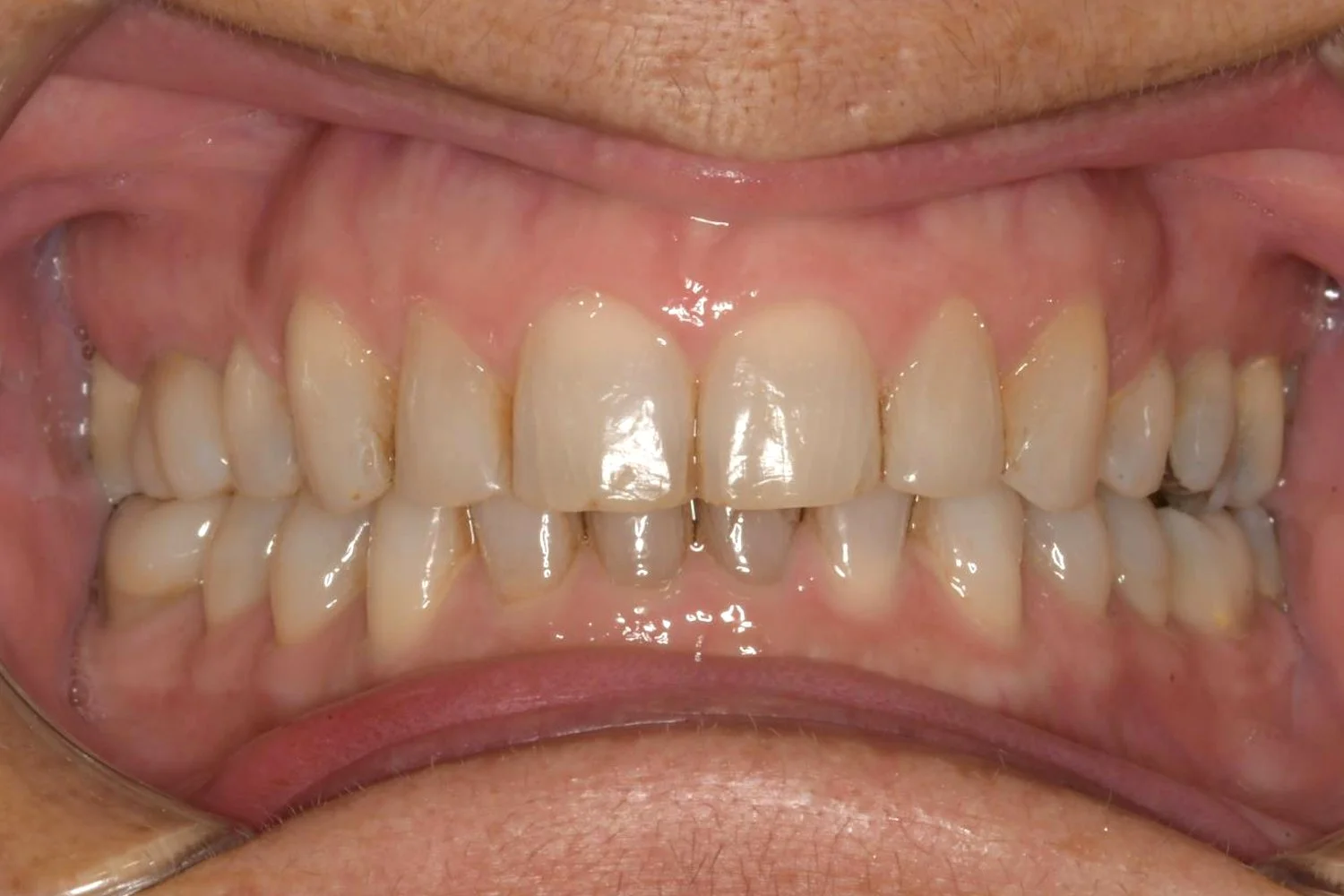
Casos de Éxito
En nuestra clínica dental, transformamos sonrisas y mejoramos vidas. Nos enorgullece compartir algunos de nuestros casos de éxito más destacados, que demuestran nuestro compromiso con la salud bucal y la satisfacción de nuestros pacientes.
Cada historia refleja la dedicación y la experiencia de nuestro equipo de profesionales. Desde tratamientos complejos hasta mejoras estéticas, personalizamos cada plan para superar las expectativas de nuestros pacientes.
Descubre los testimonios y resultados de quienes han confiado en nosotros. Aquí, no solo transformamos sonrisas, transformamos vidas.